抗体产品星推荐第二十六期|Anti-UQCRC2 Polyclonal Antibody-商家动态-资讯-生物在线

抗体产品星推荐第二十六期|Anti-UQCRC2 Polyclonal Antibody

作者:北京索莱宝科技有限公司 2025-03-14T00:00 (访问量:34266)

线粒体是细胞内的细胞器,负责合成细胞所需90%以上的能量。线粒体呼吸链是细胞能量代谢的核心系统,位于线粒体内膜,由五个主要的蛋白复合物组成,这些复合物协同完成电子传递和质子泵功能。其中,复合物Ⅲ(泛醌-细胞色素c氧化还原酶)由11个亚基组成,负责将泛醌(辅酶Q)的电子传递给细胞色素C,并将质子泵入膜间隙。泛醌-细胞色素C还原酶核心蛋白2(UQCRC2,Cytochrome b-c1 complex subunit 2, mitochondrial)是线粒体呼吸链复合物Ⅲ的关键亚基,参与电子传递和质子泵功能。本期为您带来明星抗体K108464P,它是精准检测UQCRC2蛋白的高效工具,让我们一起来认识下吧!

 


抗体产品星推荐第二十六期|Anti-UQCRC2 Polyclonal Antibody

 

 

抗体靶标

 

 

 

 

人类UQCRC2基因位于16号染色体的短臂12.2区(16p12.2),包含14个外显子。它包含多个跨膜结构域,这些结构域对于其在复合物III中的稳定性和功能至关重要。其编码的蛋白质泛醇-细胞色素c还原酶核心蛋白2(Ubiquinol-Cytochrome c Reductase Core Protein 2)是线粒体复合体Ⅲ的关键亚基,该蛋白位于线粒体内膜,参与线粒体呼吸链的电子传递过程。UQCRC2对于复合体III的二聚化和结构稳定性至关重要,其功能异常可能导致线粒体复合体III缺陷,进而影响线粒体功能和细胞能量代谢。

 

 

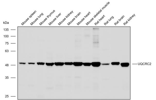
蛋白分子量

 

UQCRC2蛋白质的标准序列含有453个氨基酸,理论分子量约48kDa,实际蛋白分子量约48kDa(参考Western blot验证结果)。

抗体产品星推荐第二十六期|Anti-UQCRC2 Polyclonal Antibody

图 1 K108464P-Western blot验证

抗体产品星推荐第二十六期|Anti-UQCRC2 Polyclonal Antibody

图 2 K108464P-Western blot验证

亚细胞定位

 

泛醌-细胞色素C还原酶核心蛋白2(UQCRC2)主要定位于线粒体内膜、外周膜蛋白

抗体产品星推荐第二十六期|Anti-UQCRC2 Polyclonal Antibody

图 3 UQCRC2的亚细胞定位示意图

组织分布

 

UQCRC2是一种线粒体蛋白,广泛分布于多种组织中,包括心脏、十二指肠、皮肤、中脑和端脑等。

抗体产品星推荐第二十六期|Anti-UQCRC2 Polyclonal Antibody

图 4 K108464P-Immunohistochemistry验证

生物学功能

 

泛醌-细胞色素c还原酶核心蛋白2(UQCRC2)是线粒体复合物III(CIII)的关键亚基,主要参与线粒体氧化呼吸链的功能。UQCRC2参与电子从泛醌(CoQ)到细胞色素c的传递,同时协助质子泵功能,维持线粒体跨膜电位。在肿瘤发生发展中,UQCRC2在多种肿瘤中表达上调,与肿瘤的侵袭、转移和预后密切相关。此外,UQCRC2通过促进p53降解抑制细胞凋亡,从而促进肿瘤细胞的增殖。UQCRC2还参与调节细胞的氧化应激反应和自噬调控。在能量应激条件下,UQCRC2通过调节线粒体功能,影响细胞的氧化应激水平和自噬活性。因此,UQCRC2在线粒体功能、肿瘤代谢和细胞应激反应中发挥重要作用,是研究线粒体疾病和肿瘤治疗的重要靶点。

 

 

北京索莱宝科技有限公司 商家主页

地 址: 北京市北京经济技术开发区环科中路16号26幢3层301

联系人: 索莱宝-龚思雨

电 话: 010-50973130

传 真:

Email:3193328036@qq.com

相关咨询
ADVERTISEMENT